Scoliosis: a common condition which is frequently misunderstood
Scoliosis: a common condition which is frequently misunderstood
There are three common types of scoliosis that affect children [1]
- Idiopathic scoliosis
- Congenital scoliosis
- Neuromuscular scoliosis
![]() |
Idiopathic scoliosis
Idiopathic scoliosis accounts for 80-85 % of cases [1]. The spine is normal at birth but develops a deformity in childhood. It can occur in toddlers and young children, but the majority of cases occur from age 10 to 15 (Figs. 1 and 2). 2-3% of adolescents have scoliosis. Boy and girls are equally affected by small curves, but girls are eight times more likely to develop progressive curves. According to recent research, about one in three children whose parents have scoliosis will develop scoliosis. Scoliosis is considered a partially genetic condition. However, exactly which genes cause scoliosis is unknown [2,3]. It’s a common believe that scoliosis causes significant back pain and functional disability. In fact, mild to moderate scoliosis typically does not cause back pain and will not cause compression onto the nerves or the heart and lung. Only very severe scoliosis curves will cause heart and lung problems [1].
Fig. 1A Typical right thoracic scoliosis showing a curved back, tilted shoulder, prominent scapula, and trunk listing. |
![]() |
| Fig. 1B Prominent rib hump during Adam's forward bending test. |
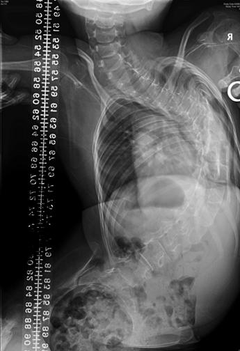
![]() Fig. 2 AP & Lateral radiograph of the same patient. |
Congenital scoliosis
![]() Fig. 3 3D-CT scan of patient with left T12 hemi-vertebra. |
Neuromuscular scoliosis
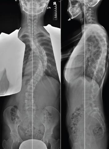
![]() Fig. 4 Severe long thoracic curve in a girl suffering from spinal muscular atrophy. Note significant pelvic obliquity with poor sitting posture. |
![]() Fig. 5 Sitting AP radiograph of the same patient. Note how radiograph shows the true severity of the pelvic obliquity. This is best treated by surgery to allow comfortable seating. |
Treatment options
![]() |
There are three evidence-based options:
Observation: For mild curves, which are the great majority, no treatment is required if the child is skeletally mature. For growing children, a regular check-up every 4-6 months is recommended to detect curve progression.
Brace treatment: (Figs. 6-7) For moderate curves in growing children, bracing is recommended. Braces, contrary to many patients and parents expectation, will not completely eliminate scoliosis. However, a well-fitted and diligently-worn corrective brace can significantly slow or prevent curve progression [4,5].
Surgery: (Figs. 8-10) For the very small number of children with severe curves, internal fixation is applied to the spine to correct the curve within the limits of safety. Surgery for scoliosis has been made very safe by major advances in surgical techniques including surgical navigation and the use of intraoperative spinal cord monitoring [1,6,7,8].
![]() Fig. 6 Under-arm brace can be worn at daytime or night time. Pressure is applied through points A, B & C. ![]() Fig. 7 Providence (left) and Charleston (right) Braces applied with the trunk bent towards the convex side for better correction of curves, are designed for bedtime usage. |
![]() Fig. 8 AP and Lateral radiograph showing right thoracic curve before surgery. |
![]() Fig. 9 Posterior spinal fusion with thoracic pedicle screws. Note spontaneous correction of compensatory lumbar curve. Lumbar spine motion is preserved. |
![]() Fig. 10 Anterior Spinal Fusion for correction of left thoraco-lumbar curve. |
Other treatments?
Unfortunately there is no rigorous scientific evidence that the natural history of scoliosis can be altered by any treatments other than bracing or surgery. Physical therapies or exercises; Traditional Chinese Medicine; drugs, vitamins or diets; and other treatments remain unproven [9,10].
References
1. The Setting Scoliosis Straight Foundation. Adolescent Idiopathic Scoliosis, Navigating Your Journey: A Guide for You and Your Family
2. Miller NH Genetics of Familial Idiopathic Scoliosis Clin Ortho & Related Research 2007; 462: 6–10
3. Wang WJ, Yeung HY, Chu WCW et al Top Theories for the Etiopathogenesis of Adolescent Idiopathic Scoliosis J Pediatr Orthop 2011;31,Supp
4. Weinstein SL, Dolan LA, Wright JG, Dobbs MB Effects of Bracing in Adolescents with Idiopathic Scoliosis N Engl J Med 2013.
5. Guo J, Lam TP, Wong MS, Ng BK, Lee KM, Liu KL, Hung LH, Lau AH, Sin SW, Kwok WK, Yu FW, Qiu Y and Cheng JC. A prospective randomized controlled study on the treatment outcome of SpineCor brace versus rigid brace for adolescent idiopathic scoliosis with follow-up according to the SRS standardized criteria. European Spine Journal 2013.
6. Buchowski JM, Bridwell KH, Lenke LG et al Neurologic complications of lumbar pedicle subtraction osteotomy: a 10-year assessment. Spine 2007; 32:2245–2252
7. Hershman SH, Park JJ, Lonner BS. Fusionless surgery for scoliosis. Bull Hosp Jt Dis. 2013;71(1):49-53.
8. Suk SI, Kim WJ, Lee SM, Kim JH, Chung ER Thoracic pedicle screw fixation in spinal deformities. Are they really safe? Spine 2001;26:2049–2057
9. Lantz CA, Chen J Effect of chiropractic intervention on small scoliotic curves in younger subjects: A time-series cohort design J Manipulative Physiol Ther. 2001;24:385-393
10. McAviney J Chiropractic treatment of scoliosis; a systematic review of the scientific literature Scoliosis 2013, 8(Suppl 1):O15
| Copyright ©2017 Asia Medical Specialists Limited. All rights reserved. |













