椎間盤突出常見問題
椎間盤突出常見問題
Written By DR CHOW Hung-Tsan
(Last updated on: September 15th 2020)
脊椎的構造
脊椎除了需要強壯外,亦須保持靈活。因此,脊椎骨由堅固的椎骨組成,椎骨之間則以柔軟而具彈性的椎間盤和小關節等軟組織相隔(圖1)。
椎體位於前方,而小關節、椎板和棘突則位於後方,共同保護中間的脊髓和神經。
椎間盤在椎體之間發揮避震作用,其外層被堅韌的纖維環牢牢包裹,而中央的啫喱狀物質稱為髓核(圖2A)。

什麼是「椎間盤突出」?
「椎間盤突出」是椎間盤破裂(或垂脫、突出)的俗稱。情況就像填滿果醬的冬甩裂開,令果醬漏出來。事實上,從初初踏入成年階段開始,纖維環便開始變得越來越弱 [1]。結果,椎間盤會因體重的壓力而變得更為脆弱。假如纖維環撕裂,啫喱狀的髓核便會洩漏,形成突出的椎間盤(圖 2B)。
假如突出的椎間盤壓迫神經,可能會引起腿部疼痛、刺痛、麻痺或無力,這些症狀稱為坐骨神經痛。患者也可能因為椎間盤突出而出現背痛。然而,除了椎間盤突出外,亦有許多其他情況可能導致背痛。
椎間盤突出有什麼症狀?
症狀會視乎椎間盤突出的位置、以及受壓迫或刺激的脊神經根而有所不同。不同患者亦可能出現不同的症狀。
椎間盤突出最常見的症狀包括:
- 腰背疼痛。這情況可能會連續或間歇發生。咳嗽、打噴嚏、長時間站立或做一些特定動作亦可能會令情況惡化
- 臀部和髖關節疼痛
- 背部肌肉痙攣
- 坐骨神經痛。當突出的椎間盤壓住某些神經時,患者可能會開始出現臀部或背部疼痛,而痛楚或會沿大腿伸延至小腿、足底、甚至腳趾。這通常只影響單腿,但偶然亦會影響雙腿。(圖3)
- 腿或腳掌麻痺、刺痛
有些患者會出現嚴重的症狀:
- 腿、腳掌或腳趾無力。患者走路時可能會一拐一拐、出現典型的『垂足』、或情況可能輕微至連患者本人也未能注意到,需要有經驗的醫生細心檢查才可發現問題。
- 喪失大腸或膀胱功能。連接膀胱或腸道的神經可能會受到影響,導致身體失去部份或全部對大小二便的感覺或控制。這是一個緊急情況。假如您出現這些問題,請立即就醫,您很可能需要接受緊急手術。
圖3. 坐骨神經痛的典型疼痛位置:從臀部開始感到陣痛和麻痺,然後伸延至大腿後方,甚至向下伸延至腳掌。 |
椎間盤突出有哪些風險因素?
假如您有以下風險因素,出現腰椎間盤突出的機會便會較高 [2,3]:
- 年屆30 - 50歲
- 吸煙
- 過重
- 男性
- 曾有背痛的病史
- 缺乏運動
- 工作或特定的活動需要您:
- 長期坐著和站立
- 向前或向後彎腰
- 頻繁搬運重物
- 背部遭受震動,例如駕駛
- 頻密當夜班
如何診斷椎間盤突出?
醫生會仔細聆聽您的描述及為您進行檢查,通常亦會安排磁力共振掃描(MRI)。
磁力共振掃描(MRI)對評估脊骨情況非常有用,因為這能顯示脊髓、神經根、其他軟組織和骨骼。磁力共振儀在三個平面取得橫切面圖像,讓醫生能清楚看見解剖結構。亞洲專科醫生特設一台負重式的磁力共振掃描儀,可以拍攝病者站立時的影像。這可以是十分有用的,因為腰椎間盤突出的情況有時僅在站立時才會出現 [4-6](圖4和圖5)。
圖4. 負重式的磁力共振掃描儀能就病人各種不同姿勢拍攝影像。 |
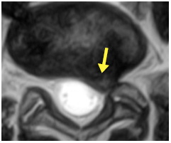
![]() 圖5A.磁力共振掃描顯示在 L5 / S1 位置突出的椎間盤流進了椎管(箭咀所示)。這是一幅縱向平面圖像,就像從側面看脊椎一樣。 |
![]() 圖5B. 相同磁力共振掃描的水平平面圖像,顯示在 L5 / S1 位置出現椎間盤突出,並擠壓左面 S1 神經(箭咀所示)。 |
是否需要接受其他測試?
雖然磁力共振掃描是最有用的測試,但有時也可能需要其他測試輔助。
X光
X光可以拍攝骨骼的影像,但卻不能顯示軟組織。X光有助排除導致腰背疼痛的其他原因,例如骨折、脊椎不穩和腫瘤等。然而,在大多數急性腰椎間盤突出的個案,腰椎的X光不會顯示任何異常或非特異變化。
電腦斷層(CT)掃描
電腦斷層掃描能以高解像顯示骨骼立體情況,但不會如磁力共振掃描般清晰顯示軟組織。
肌電圖及神經傳導檢查
肌電圖(EMG)測量肌肉在靜止和收縮期間的電活動,而神經傳導檢查則能測量神經傳導電流信號的情況和速度。這些檢查可以量化神經及其相關肌肉群因神經壓迫所引起的影響及嚴重程度,亦可以幫助確認神經受壓迫的位置,特別是當診斷不清楚時。
腰椎間盤突出有什麼治療方法?
由於腰椎間盤突出通常會自行痊癒,因此應先嘗試非手術治療。假如症狀沒有改善,或在接受約 6 至 8 星期的非手術治療後症狀加重,則建議進行手術。因為症狀出現超過 60 天後,進行手術的效果似乎比較遜色 [7]。
休息
這是減輕急性腰椎間盤突出引致疼痛的各種方法中,最佳及最容易的。
- 休息數天,避免上班。
- 側躺在中硬度的床上,在兩腿膝蓋之間放一個枕頭(以放鬆您的背部和核心肌肉,避免痙攣)。這姿勢能減輕腰椎和椎間盤的壓力。
- 假如您的情況於幾天後有所改善,應該開始短途步行及進行輕量運動。
藥物
假如您能及早並定時服用口服止痛藥,通常會得到最佳療效。否則,待疼痛情況嚴重後,效果便沒有那麼理想。非類固醇消炎藥 (NSAID) 是減輕炎症和疼痛的首選。現時的 COX-2 選擇性的非類固醇消炎藥可以達到傳統非類固醇消炎藥的所有好處,並能同時減輕副作用。一些藥物則是專門紓緩神經痛,更或有助減少椎間盤突出引起的散射性腿部疼痛。而常見副作用之一是嗜睡,但這可能有助於患者休息。
物理治療
物理治療師會根據症狀的嚴重性和對身體的影響,特別為您設計一個物理治療方案 [8]。初期主要針對改善疼痛,其後則會著重提高背部和核心肌肉的力量、彈性和耐力。
硬膜外類固醇注射
當椎間盤突出並擠壓神經時,患者可能會因為神經受刺激和發炎而感到痛楚。硬膜外類固醇注射是屬於微創小手術,能有效減少炎症、從而舒緩痛楚和不適。
進行硬膜外類固醇注射有兩種方法:透過層間和椎間孔。由於經椎間孔的注射不但能將注射限制在較小的區域,且更能對準目標位置,因此是我們治療技術的首選。
椎間孔硬膜外類固醇注射是如何進行的?
脊椎神經是通過側孔(即神經孔)離開椎管。而這亦是脊椎神經最常被突出的椎間盤擠壓的部位之一。因為椎間孔硬膜外類固醇注射手術需要視像X光的配合,故此會由脊骨外科醫生或痛症專科醫生於手術室或特別手術房進行。在X光導引下,醫生會在神經孔附近的神經根正上方插入一支幼針。在神經根周圍會注入長效皮質類固醇和局部麻醉劑的混合物,以減輕炎症和舒緩疼痛(圖6)。
![]() 圖6. 在進行椎間孔硬膜外類固醇注射期間,醫生會將一支幼針小心定位,並在發炎的神經周圍注射類固醇藥物。 |
結果如何?
患者可以在手術當天回家。許多人會立即感覺好一點,但往往需要一至兩個星期才能感受到治療帶來的全部好處。大部份患者會在接受椎間孔硬膜外類固醇注射之後感到情況有好轉 [9,10]。隨著疼痛減輕,物理治療的目標將會從舒緩疼痛,轉為恢復脊椎的強度和運動能力。雖然此注射能減少與椎間盤突出相關的腫脹,但卻不能減輕椎間盤本身突出的程度。
椎間孔硬膜外類固醇注射對誰最有療效?
此注射對患有小至中等程度椎間盤突出、但卻感到嚴重散射性腿部疼痛和麻痺、以及對休息和藥物無反應的患者最有療效,因為這些患者的症狀通常由神經刺激和炎症引起。
以下人士不應接受椎間孔硬膜外類固醇注射:孕婦;身患感染、出血問題、或糖尿病不受控制等人士。
有什麼風險?
椎間孔硬膜外類固醇注射屬微創手術,手術過程相對安全,風險亦很小。因局部麻醉劑阻止了神經訊息傳送,患者可能會短暫感到腿部的麻痺或無力嚴重了。這情況通常會在麻醉藥的效力過後的8-12小時內消失。此程序或有輕微機會出現頭痛(由於硬膜受到穿刺,包圍腦部的腦脊液流至頭部其他地方)、感染(非常罕見)、出血(罕見)、神經損傷(罕見)、過敏反應(罕見)、皮質類固醇副作用(非常罕見)、或癱瘓(極少數)[11,12]。
進行手術有用嗎?
雖然大多數腰椎間盤突出的問題能以非手術方式治療,但研究顯示,與非手術治療相比,手術可以更快舒緩腿部症狀 [13],長遠效果更佳,並令患者更為滿意 [14,15]。
如患者出現以下情況,則建議接受手術治療:
- 馬尾症候群(膀胱或腸道失去感覺或控制能力)。
- 肌肉明顯無力。
- 接受非手術治療 6-8 星期後仍未有改善。
- 因症狀嚴重程度而導致顯著身體功能障礙。
- 非常大的椎間盤或椎間盤碎片已完全移位,並脫離其他椎間盤(稱為「脫離」椎間盤)。
手術過程會涉及什麼程序?
最常見的手術是「椎間盤切除術」。 這是移除椎間盤突出部份的外科手術,並不會移除整塊椎間盤。這手術會在醫院經麻醉後進行。
傳統的椎間盤切除術需要切開皮膚,再將背部肌肉移至側面,讓醫生可以看到椎板(椎骨後部形成的骨)。通常會在兩塊椎板之間鑿開(稱為「椎板切開術」),讓醫生看到椎管。在過程中,神經根會被移開,顯露突出的椎間盤。醫生會移除鬆脫的椎間盤部分,以減輕神經的壓力(圖7)。

圖7B. 突出的椎間盤在手術前擠壓脊椎神經,導致坐骨神經痛。
圖7C. 脊椎神經在椎間盤切除術後不再受到擠壓。
微創椎間盤切除術和內窺鏡椎間盤切除術是近年兩項相關技術的大改進,讓醫生能透過較小的切口放大觀察,帶來更佳的手術效果,及更快的復原速度。
微創椎間盤切除術
醫生使用手術顯微鏡和特別儀器,能通過較小的切口進行類似傳統椎間盤切除術的程序。
內窺鏡椎間盤切除術
脊椎內窺鏡手術近年的發展,讓醫生能以更細小的皮膚切口進行椎間盤切除術。 當中一個微型相機經過非常細小的孔插入椎管內(圖8)。醫生會觀看屏幕進行手術。
和傳統方式相比,微創椎間盤切除術和內窺鏡椎間盤切除術的主要優點,是較細小的切口會對正常組織造成較小的傷害,而且由於能將影像放大,醫生可以看得更清楚。因此患者可以復原得更快,並能早日回復正常活動。
![]() | ![]() |
我在接受手術後會出現什麼情況?
手術後,您將會在醫院病床醒來。您需要接受數個小時的靜脈注射,直到您能正常飲水為止。您不需駁上其他喉管。當您感覺精神或體力良好時(通常是在手術後幾小時),您便可下床走動。到了第二天,下床走動基本上不會有問題。物理治療師將確保您可以步行、行樓梯、以及能安全及獨立地上洗手間。您通常需要在醫院住一個晚上。當您情況良好,並能自行活動後,便可以回家。您可能會獲發一個腰箍,以增加舒適感。醫生在醫院會為您處方輕度的止痛藥,您可根據需要繼續服用同一種藥物,通常約為2星期。一般情況下,您將會需要接受門診物理治療。我們將會在您的傷口貼上防水的敷料,您可以如常淋浴。敷料一般不需要更換。在手術後約2 - 3星期,您將會需要到醫生的診所覆診,敷料屆時會去除。縫補傷口的線會溶解,故此不需要拆線。
在舒適的情況下,您可以隨意走動,但請避免屈曲、彎腰或提起超過5磅(即2公斤)的物件。
當您獲安排出院後,便可以立即乘搭飛機,但不應該提起沉重的行李。如需要將行李放上座位上的儲物櫃,請尋求援助。
除非您的醫生已跟進了您的情況,並確定您能安全駕駛,否則不應駕駛。
假如您的工作不需要太多體力勞動,您可以在覺得舒適的情況下恢復工作,通常在術後兩星期內。假如您的工作比較繁重,那麼您可以待背部狀態良好時才返回工作崗位。
椎間盤切除手術的結果如何?
腰椎間盤切除術在舒緩臀部和腿部疼痛的成功率大約為 85%- 90%,而不同腰椎間盤切除術的結果都是相似的 [15-17]。一些報告顯示,及早做手術相比長期非手術治療,更能獲得較佳的疼痛舒緩和較快的復原效果 [18]。手術後通常能立即舒緩腿部疼痛和麻痺,但在某些情況下,症狀可能需要幾星期才能改善。然而,假如神經已經被擠壓了一段長時間,往往會有永久的殘留症狀,一般是輕度麻痺、疼痛或無力。
大多數人在腰椎間盤切除手術後均會復原得很快,且沒有進一步問題。然而,腰椎間盤切除術並不能解決椎間盤退化的問題。此手術旨在消除擠壓神經的壓力,而不是逆轉椎間盤的老化過程。
腰椎間盤切除手術後最常見的兩個問題是:餘下的髓核可能會再次突出,導致「復發性椎間盤突出」(出現率為 5-15%)。此外,術後椎間盤有機會變得不穩定,並可能會產生痛楚,因而導致偶發性腰背痛(出現率為 10 - 25%)。這些問題受許多風險因素影響,包括吸煙、肥胖、受影響的椎間盤節數、突出的類型、被移除椎間盤的比例等 [19-21]。
假如出現「復發性椎間盤突出」而非手術治療又不成功的話,可考慮進行腰椎間盤切除術的修復手術。
假如在椎間盤切除手術後仍然有持續腰痛的情況,患者可能需要接受腰椎融合或腰椎間盤置換,通常可以解決問題(請參閱亞洲專科醫生的「腰椎間盤置換術常見問題」)。
手術有什麼風險?
雖然腰椎間盤切除術是一項需要麻醉的大手術,但出現併發症的機率卻不高(共 2 - 8%)[16,22,23]。
重要的併發症包括:
神經損傷(0.3%)。 這是最令人擔心的併發症,但幸好頗為罕見。患者在術後可能會出現新的肌肉無力。神經的損傷可能是永久性的。手術導致半身不遂(兩邊下肢完全無力)的機會極低。
硬腦膜撕裂(4%)。 硬膜囊是包含腦脊液之纖維膜,腦脊液讓脊髓和脊神經浮動。硬膜囊的撕裂通常屬輕微,並可以輕易自行修補。這情況通常沒有重大後果,但患者可能需要臥床休息 4-5 天,以防止腦脊液漏出。
傷口血腫(2%)。 傷口出現瘀痕。這雖然可能會令患者感到不適,但通常沒有嚴重後果。
感染(5%)。表面傷口出現感染是頗為常見的情況。這通常是自限性的併發症,並可透過口服抗生素有效治療。深層的傷口感染則較嚴重,通常需要靜脈注射抗生素,有時亦可能需要進一步的手術,幸好這情況屬罕見(0.3%)。
我可以防止椎間盤突出嗎?
保持健康的體重。 這有助減輕腰椎的負擔,避免椎間盤承受過大壓力。
請勿吸煙。吸煙減少組織的血液供應,可能導致椎間盤損傷。
定期運動,保持背部和核心肌肉的力量和彈性,以支撐腰椎。普拉提類鍛練可說是最佳選擇。
保持正確的坐姿和站姿。
提起物件時運用適當的技巧和姿勢。需要抬起重物時,請尋求他人協助或使用適當的輔助工具。
總結
- 腰椎間盤突出症是導致年輕成年人腰痛和坐骨神經痛的常見問題。
- 情況通常會自行復原。
- 非手術治療包括休息、止痛藥、物理治療、類固醇注射。
- 患者偶爾會出現嚴重症狀,如嚴重的肌肉無力、膀胱或腸道失去感覺或控制能力(馬尾症候群)。這情況非常緊急,患者應立即就醫。
- 椎間孔硬膜外類固醇注射是一種微創手術,一般可顯著舒緩症狀。
- 假如症狀於 6 - 8 星期後仍然持續,進行腰椎間盤切除手術便是合適的選擇。
- 與非手術治療相比,腰椎間盤突出的手術治療可以更快舒緩腿部症狀,長遠效果更佳,令患者更為滿意。
- 使用顯微鏡或視頻內窺鏡的現代外科技術,可讓醫生透過非常細小的切口便能清楚觀察患者的狀況。除了可令患者快速復原外,併發症發生率亦較低。
- 有時椎間盤的物質會再次垂脫,造成「復發性椎間盤突出」。 這通常需要再次進行手術作治療。
- 10-25%的椎間盤突出患者會出現背部疼痛。這情況接受需要其他治療方案。
如欲了解更多有關此疾病的詳情,請電郵info@asiamedical.hk或致電+852 2521 6830與我們聯絡 。
參考文獻
1. Gordon, S.J., et al., Mechanism of disc rupture. A preliminary report. Spine (Phila Pa 1976), 1991. 16(4): p. 450-6.
2. Elfering, A., et al., Risk factors for lumbar disc degeneration: a 5-year prospective MRI study in asymptomatic individuals. Spine (Phila Pa 1976), 2002. 27(2): p. 125-34.
3. Heliovaara, M., Risk factors for low back pain and sciatica. Ann Med, 1989. 21(4): p. 257-64.
4. Alyas, F., D. Connell, and A. Saifuddin, Upright positional MRI of the lumbar spine. Clin Radiol, 2008. 63(9): p. 1035-48.
5. Jinkins, J.R. and J. Dworkin, Proceedings of the State-of-the-Art Symposium on Diagnostic and Interventional Radiology of the Spine, Antwerp, September 7, 2002 (Part two). Upright, weight-bearing, dynamic-kinetic MRI of the spine: pMRI/kMRI. JBR-BTR, 2003.86(5): p. 286-93.
6. Tarantino, U., et al., Lumbar spine MRI in upright position for diagnosing acute and chronic low back pain: statistical analysis of morphological changes. J Orthop Traumatol, 2013. 14(1): p. 15-22.
7. Rothoerl, R.D., C. Woertgen, and A. Brawanski, When should conservative treatment for lumbar disc herniation be ceased and surgery considered? Neurosurg Rev, 2002. 25(3): p. 162-5.
8. Unlu, Z., et al., Comparison of 3 physical therapy modalities for acute pain in lumbar disc herniation measured by clinical evaluation and magnetic resonance imaging. J Manipulative Physiol Ther, 2008. 31(3): p. 191-8.
9. Lutz, G.E., V.B. Vad, and R.J. Wisneski, Fluoroscopic transforaminal lumbar epidural steroids: an outcome study. Arch Phys Med Rehabil, 1998. 79(11): p. 1362-6.
10. Weinstein, S.M., S.A. Herring, and Nass, Lumbar epidural steroid injections. Spine J, 2003. 3(3 Suppl): p. 37S-44S.
11. Goodman, B.S., et al., Complications and pitfalls of lumbar interlaminar and transforaminal epidural injections. Curr Rev Musculoskelet Med, 2008. 1(3-4): p. 212-22.
12. Karaman, H., et al., The complications of transforaminal lumbar epidural steroid injections. Spine (Phila Pa 1976), 2011. 36(13): p.E819-24.
13. Weinstein, J.N., et al., Surgical vs nonoperative treatment for lumbar disk herniation: the Spine Patient Outcomes Research Trial (SPORT) observational cohort. JAMA, 2006. 296(20): p. 2451-9.
14. Weinstein, J.N., et al., Surgical versus nonoperative treatment for lumbar disc herniation: four-year results for the Spine Patient Outcomes Research Trial (SPORT). Spine (Phila Pa 1976), 2008. 33(25): p. 2789-800.
15. Atlas, S.J., et al., Long-term outcomes of surgical and nonsurgical management of sciatica secondary to a lumbar disc herniation: 10 year results from the maine lumbar spine study. Spine (Phila Pa 1976), 2005. 30(8): p. 927-35.
16. Dewing, C.B., et al., The outcomes of lumbar microdiscectomy in a young, active population: correlation by herniation type and level. Spine (Phila Pa 1976), 2008. 33(1): p. 33-8.
17. Yeung, A.T. and P.M. Tsou, Posterolateral endoscopic excision for lumbar disc herniation: Surgical technique, outcome, and complications in 307 consecutive cases. Spine (Phila Pa 1976), 2002. 27(7): p. 722-31.
18. Peul, W.C., et al., Prolonged conservative care versus early surgery in patients with sciatica caused by lumbar disc herniation: two year results of a randomised controlled trial. BMJ, 2008. 336(7657): p. 1355-8.
19. Carragee, E.J., et al., Clinical outcomes after lumbar discectomy for sciatica: the effects of fragment type and anular competence. J Bone Joint Surg Am, 2003. 85-A(1): p. 102-8.
20. McGirt, M.J., et al., Recurrent disc herniation and long-term back pain after primary lumbar discectomy: review of outcomes reported for limited versus aggressive disc removal. Neurosurgery, 2009. 64(2): p. 338-44; discussion 344-5.
21. Swartz, K.R. and G.R. Trost, Recurrent lumbar disc herniation. Neurosurg Focus, 2003. 15(3): p. E10.
22. Ebeling, U., W. Reichenberg, and H.J. Reulen, Results of microsurgical lumbar discectomy. Review on 485 patients. Acta Neurochir (Wien), 1986. 81(1-2): p. 45-52.
23. Ramirez, L.F. and R. Thisted, Complications and demographic characteristics of patients undergoing lumbar discectomy in community hospitals. Neurosurgery, 1989. 25(2): p. 226-30; discussion 230-1.
此文章原文由亞洲專科醫生以英文撰寫 © 2017 亞洲專科醫生有限公司,版權所有 |







